皮肤受到创伤时,通常不能及时愈合,愈合不良会导致功能损失甚至死亡,伤口敷料对于伤口的愈合是必须的。人体的活动部位如膝盖、手腕、脚踝、和颈部的皮肤创伤由于伤口界面频繁的运动,通常会导致愈合不良。在这些部位使用普通的伤口敷料如纱布,需要经常更换,往往会导致二次损伤和愈合时间延长,产生更厚的角质层和瘢痕,影响后期活动能力。自愈合水凝胶似乎能够解决这些问题。在小幅度运动时,凝胶的柔性能保持敷料的完整性;在大幅度运动时,凝胶的自愈合能力能够实现快速地自我修复,延长了敷料的使用时间。但是已报道的自愈合凝胶体系大部分需要复杂的合成过程或者引入有潜在毒性的交联剂,限制了自愈合凝胶的应用。此外,常见的动物伤口模型,都是利用鼠的背部区域,很少有考虑到频繁运动对于伤口的影响,不利于活动部位伤口的在体评价。因此,开发一种制备简便,生物相容性好的自愈合凝胶敷料,以及探索合适的动物模型来评价这种敷料尤为关键。
华中科技大学生命学院杨光教授课题组与南方科技大学微流控纳米生物医学课题组合作报道了一种能够快速制备的导电、可注射、自愈合水凝胶用于活动部位伤口的修复。该凝胶基于阳离子瓜尔胶(CG),通过简单的酸促进水解,碱促进凝胶化两步法实现了1分钟的快速制备(GS)。而且,在合成过程中,将市售的酸性,导电的PEDOT:PSS水溶液作为酸成分,能够轻易地将凝胶功能化(PPGS)。制备的GS和PPGS具有良好的自愈合性能和生物相容性。
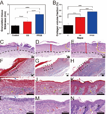
作者通过分析大鼠的运动,发现大鼠后颈部(nape)的运动比常规背部(dorsum)的运动更为频繁,而且有足够大的面积来进行伤口造模,对于评价活动部位伤口更为合适。
进一步的,作者在评价了GS和PPGS在大鼠颈部和背部伤口的作用。电活性的PPGS组有更厚的肉芽组织、更多的胶原含量和毛囊的产生,表明电活性的自愈合凝胶对于活动伤口的修复有潜在价值。

相关研究以“Rapid fabrication of self-healing, conductive and injectable gel as dressings for healing wounds in stretchable parts of the body”为题,在期刊Advanced Functional Materials发表。华中科技大学博士生李思祥和南方科技大学博士生王乐为文章的第一作者,合作单位为南方科技大学,广州纳米技术研究院。
论文链接:https://doi.org/10.1002/adfm.202002370
- 暨大刘明贤教授团队 Bioact. Mater.: 纳米粘土增强的3D打印壳聚糖水凝胶用于止血与感染伤口修复 2025-08-28
- 郑州大学睢晓洁 AHM:可便捷用于伤口修复的干细胞低温保存平台 2025-01-12
- 华科大牛冉/陈振兵/杨小凡 Adv. Sci.:糖工程化外泌体杂化纳米机器人增强细胞和组织渗透促进糖尿病伤口修复 2024-12-01
- 浙大张鹏 Adv. Mater.:阴离子-π互锁结构可注射导电水凝胶 - 构建稳定的组织-生物电子桥梁 2026-03-21
- 上海交大张智涛团队 Adv. Mater.:面向表皮电子的新型高导电银浆生物粘合剂 2026-03-13
- 华南理工大学王瑞、谢从珍/深圳大学徐华松 Nat. Commun.:用于静电防护的可切换导电-绝缘态可逆介电聚合物 2026-02-16
- 华南理工大学杜金志教授、都小姣教授 ACS Nano:可注射“特洛伊木马”水凝胶 - 释放可穿透免疫刺激纳米胶束用于胶质母细胞瘤术后治疗 2026-04-20